Mon. - Sat. 09:00 - 18:00
Pazartesi - Cumartesi 09:00 - 18:00
+90 (552) 859 57 67
İstanbul, Türkiye
Search

Zygomatic Implants Advantages and Zygomatic Implants Disadvantages

Zygomatic Implants Advantages and Zygomatic Implants Disadvantages
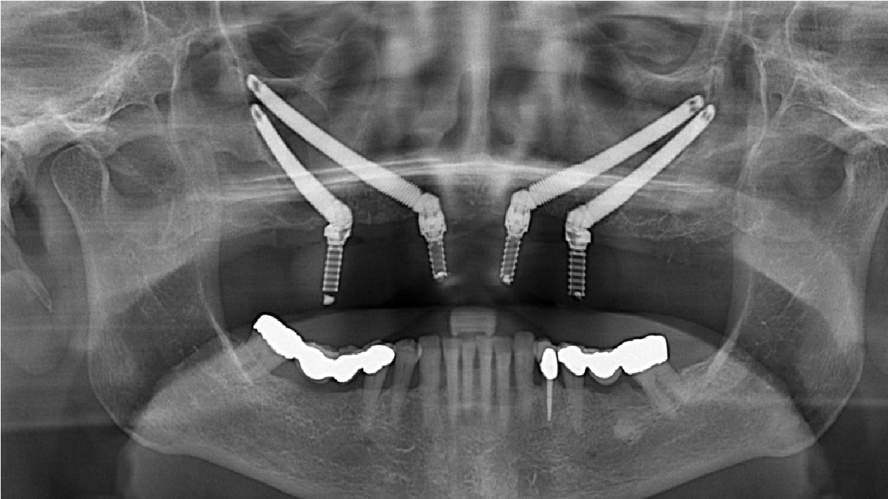
Zygomatic implants advantages and zygomatic implants disadvantages are two critical aspects that patients should understand before deciding on this advanced oral rehabilitation option. These implants provide a reliable pathway to fixed full-arch restoration in cases of severe maxillary atrophy.
By anchoring in the dense zygomatic bone, they eliminate the need for extensive grafting and significantly shorten treatment timelines. However, while their benefits are transformative, the procedure also involves higher costs, technical challenges, and anatomical limitations. Below is a balanced overview of both the advantages and disadvantages of zygomatic implants.

Key Advantages of Zygomatic Implants

The primary zygomatic implants advantages include faster rehabilitation, high implant stability, and the ability to avoid complex bone grafting procedures. Below are the five major benefits that make zygomatic implants a life-changing solution for patients with severe maxillary bone loss.

zygomatic-implants-advantages-and-zygomatic-implants-disadvantages
Zygomatic Implants Advantages and Zygomatic Implants Disadvantages

1. Graftless and Faster Rehabilitation

One of the greatest advantages of zygomatic implants is that they eliminate the need for bone grafting. Instead of depending on the weakened maxilla, the implant anchors directly into the dense zygomatic bone. This technique bypasses the sinus lift or block graft process, allowing immediate or early loading with a fixed provisional prosthesis. As a result, patients experience shorter treatment times and a faster return to normal function.

2. Lower Morbidity and Shorter Overall Treatment Time

Since there is no bone harvesting or graft-healing phase, patient morbidity is significantly reduced. Zygomatic implants require fewer surgical stages, fewer clinical visits, and less overall discomfort. This streamlined workflow not only saves time but also minimizes surgical trauma, leading to quicker recovery and improved speech, mastication, and confidence.

3. High Primary Stability in Compromised Jaws

The zygomatic bone is one of the densest bones in the craniofacial skeleton, offering excellent anchorage for long implants. This biomechanical strength provides high primary stability even in patients with minimal residual alveolar bone. Compared to conventional implants, which often fail in severely atrophic jaws, zygomatic implants demonstrate superior stability and long-term success rates.

4. Predictable Full-Arch Outcomes

When performed by experienced surgeons, zygomatic implants can deliver fully fixed, immediate full-arch restorations. In selected cases, techniques like quad zygoma or hybrid approaches enable complete upper-arch rehabilitation within a single surgical session. Studies consistently show that this method achieves predictable results with outstanding patient satisfaction and functional outcomes.

5. Prosthetics-Driven Digital Planning

Modern zygomatic implantology emphasizes a prosthetically driven workflow. Using advanced digital planning and guided surgical systems, clinicians can achieve ideal prosthetic emergence profiles even in anatomically complex cases. This ensures optimal aesthetics, easy hygiene maintenance, and long-term implant stability while minimizing complications related to soft-tissue design or prosthesis alignment.

Overall, these zygomatic implants advantages make the treatment one of the most effective options for patients with extensive bone loss who seek permanent, graft-free oral rehabilitation.

The Cost of Zygoma implants in Turkey

Key Zygomatic Implants Disadvantages

While this advanced graftless technique offers life-changing benefits, it is also essential to understand the main zygomatic implants disadvantages before treatment. These potential challenges highlight the importance of proper case selection, experienced surgical teams, and realistic patient expectations.

1. Cost Considerations

One of the most common disadvantages of zygomatic implants is their higher upfront cost. The procedure involves advanced 3D imaging, navigation systems, longer implants, and the expertise of maxillofacial specialists. Although the investment covers a faster and graft-free solution, it can still be more expensive than conventional implants or staged grafting, especially in certain regions or private clinics.

2. Surgical Complexity  (Zygomatic Implants Disadvantages)

The zygomatic implant procedure requires precise anatomical knowledge and surgical skill. Long implant trajectories cross delicate sinus and zygomatic structures, which increases the risk of complications if not meticulously planned. Possible issues include sinusitis, soft-tissue irritation at the prosthesis emergence site, or—rarely—orbital or infraorbital involvement. These risks emphasize the need for treatment by experienced maxillofacial surgeons using digital planning and navigation tools.

3. Anatomical Limitations

Not every patient is suitable for zygomatic implant placement. A small percentage may have insufficient zygomatic bone volume or chronic sinus pathology requiring pre-treatment. In such cases, conventional implants or staged grafting might be safer alternatives. Additionally, not all patients qualify for immediate loading, especially when bone density or soft-tissue conditions are suboptimal.

4. Maintenance Demands

Due to their unique prosthetic design, zygomatic implants require exceptional hygiene maintenance. The prosthesis must be designed for easy access to cleaning areas, and patients must adhere to strict home care routines. Regular professional check-ups are essential to prevent peri-implantitis, soft-tissue inflammation, or long-term prosthetic wear issues.

5. Expectation Management

Another crucial aspect among the zygomatic implants disadvantages is managing patient expectations. While the procedure can restore function and appearance, aspects like speech adaptation, lip support, and smile-line control rely heavily on precise prosthetic planning. Unrealistic aesthetic expectations or inadequate communication between patient and clinician may lead to dissatisfaction despite successful surgical outcomes.

In summary, understanding the zygomatic implants disadvantages helps patients make informed decisions. When performed by experienced specialists and planned with modern digital systems, most of these limitations can be minimized, resulting in predictable, long-lasting, and functional oral rehabilitation.

Zygomatic Implants Advantages and Zygomatic Implants Disadvantages
Zygomatic Implants Advantages and Zygomatic Implants Disadvantages

Comparison Between Zygomatic Implants Advantages and Zygomatic Implants Disadvantages

When choosing advanced dental rehabilitation, understanding both zygomatic implants advantages and zygomatic implants disadvantages is essential. This comparison helps patients and clinicians balance the benefits of graftless, rapid treatment with the challenges of surgical complexity and maintenance needs. The goal is to determine whether zygomatic implants offer the most suitable, long-term solution for each individual case.

Dimension Zygomatic Implants Conventional + Grafting
Overall timeline Shorter; often immediate/early loading Longer; graft healing adds months
Surgical stages Fewer stages; one major surgery Multiple (graft, re-entry, implants)
Patient morbidity Lower (no donor site) Higher (graft harvest, sinus lifts)
Upfront cost Higher per surgery (expertise/tech) Distributed but cumulative with stages
Indication scope Ideal for severe maxillary atrophy Better for mild/moderate deficits
Maintenance Strict hygiene, design-critical Standard implant maintenance

What is the Best for You?

Patients with severe maxillary bone loss, repeated graft/implant failures, or post-oncologic/post-traumatic defects are prime candidates. For others with moderate atrophy, conventional implants with minor augmentation may be equally effective and more economical.

Zygomatic implants offer graftless, rapid, and predictable rehabilitation for carefully selected patients, with lower morbidity and shorter total treatment time. The trade-offs include higher upfront costs, technical complexity, and strict maintenance requirements. A thorough CBCT-based plan, prosthetics-first approach, and an experienced maxillofacial team are essential to maximize outcomes and minimize risks.

Considering zygomatic implants? Book a comprehensive assessment to review your anatomy, treatment goals, and budget, and to compare graftless vs. grafted pathways with a specialist-led plan.

The Comparison of Zygoma Implants vs Traditional Implants from POV Celal ÇANDARLI

Why Choose Prof. Dr. Celal Çandırlı forZygomatic Implants?

Prof. Dr. Celal Çandırlı is one of Turkey’s leading maxillofacial surgeons specializing in advanced implantology and complex facial reconstruction. His expertise in zygomatic implants extends beyond routine dental practice—he combines decades of surgical precision with modern digital planning to restore both function and aesthetics for patients who have lost significant maxillary bone.

Extensive Experience in Advanced Maxillofacial Surgery

With over 25 years of clinical experience, Prof. Dr. Çandırlı has successfully treated hundreds of cases involving severe maxillary atrophy, trauma, and post-oncologic reconstruction. His mastery of zygomatic and custom facial implant techniques ensures optimal outcomes even in the most anatomically challenging situations.

Comprehensive Digital Planning & Guided Surgery

At the MaxFax Zygoma Center in Istanbul, every procedure begins with CBCT-based 3D analysis, prosthetics-driven digital planning, and navigation-guided implant placement. This workflow minimizes risks, enhances accuracy, and allows immediate loading of fixed restorations when clinically appropriate.

Patient-Centered, Multidisciplinary Approach

Prof. Dr. Çandırlı collaborates with prosthodontists, anesthesiologists, and digital designers to create fully individualized treatment plans. Each patient benefits from transparent communication, realistic expectation management, and long-term follow-up care to maintain implant health and aesthetics.

Global Reputation & Academic Excellence

As a respected academic and international lecturer, Prof. Dr. Çandırlı has contributed to the advancement of zygomatic implantology through publications, training programs, and live surgeries. His commitment to research and innovation keeps his clinical protocols aligned with the highest global standards.

State-of-the-Art Facility in Istanbul

The MaxFax Zygoma Center features a fully equipped operating suite, in-house 3D imaging, and CAD/CAM laboratories for precise prosthetic fabrication. International patients receive coordinated support including pre-arrival assessment, travel assistance, and post-treatment follow-up.

Choosing Prof. Dr. Celal Çandırlı means entrusting your smile to one of the most experienced and innovative surgeons in zygomatic implant rehabilitation—combining science, technology, and artistry for lasting results.

 

Related Posts

Contact us

Our team will respond as soon as possible.