Zygomatic Implant Steps begin with understanding the zygoma bone itself. The zygoma bone, also known as the cheekbone, is located in the cheek area of the human skull. In medical terminology it is referred to as the “zygoma,” and it plays an important role in defining the shape of the face. The muscles attached to this bone are also responsible for facial expressions and movements.
The zygoma bone connects with the eye socket (orbit), the temporal bone, and the upper jawbone (maxilla), helping maintain the structural integrity of the face. These structures also contribute to the aesthetic contours of the face. Because the zygoma supports the upper jawbone, it makes dental implant treatment possible even in patients with severe bone loss. In such cases, implants are placed into this cheekbone structure as part of the planned Zygomatic Implant Steps. This procedure is known as a “zygoma implant.”
What Is the Zygoma? — Zygomatic Implant Steps Overview
The zygoma bone is located beneath the eye socket and forms the widest part of the cheek. It has a diamond-like shape. In addition to forming part of the orbit, it articulates with the frontal bone, maxilla, and sphenoid. Laterally it connects to the temporal bone and anteriorly to the maxilla, forming the central part of the zygomatic arch.
This bone develops in the womb and becomes fully ossified at birth. It forms within a membrane, which means it develops without a cartilage precursor. It is extremely strong and durable. It plays a major role in determining the aesthetic appearance of the face. Prominent cheekbones may create a more aesthetically pleasing face in some people, while excessively high cheekbones may lead to cosmetic dissatisfaction in others.

Where Is the Zygoma Located? What Is the Anatomy of the Zygomatic Bone?
The zygoma, also known as the cheekbone, forms the protruding mid-facial structure that shapes the face. This bone combines with other facial bones to help stabilise the skull.
Located in the cheek region, the zygoma forms part of the orbital rim. It is connected to the maxilla, frontal bone, and temporal bone. It consists of several anatomical components, including:
| Part | Description |
|---|---|
| Body | Main section of the cheekbone, from which the other extensions arise. |
| Frontal Process | Located at the upper portion, connecting to the frontal bone and forming the outer border of the orbit. |
| Temporal Process | Extends backward to join with the temporal bone. |
| Maxillary Process | Located inferiorly, attaching to the maxilla and forming part of the lower orbital rim. |
What Is a Zygoma Implant?
A zygoma implant is a treatment method that allows patients with insufficient upper jawbone to benefit from dental implants. In this method, implants are anchored into the cheekbone (zygoma), and prosthetic teeth are later attached to restore missing teeth — a key part of the Zygomatic Implant Steps.
Cheekbone implants are used in cases where traditional implant methods are not possible. Bone grafting is not required for this treatment — instead, the implant is directly placed into the zygomatic bone.
In conventional implant treatments, implant lengths range from approximately 8–15 mm. However, implants placed into the cheekbone are usually 30–50 mm long, because they extend from the cheekbone into the oral cavity. They also differ structurally from standard implants. Because the cheekbone is strong and dense, these implants can successfully meet patient expectations.

How Are Zygoma Implants Performed? Zygomatic Implant Steps
This treatment is designed for patients whose upper jawbone is not suitable for standard dental implants. Zygoma implant treatment consists of several carefully planned Zygomatic Implant Steps:
1 – Consultation
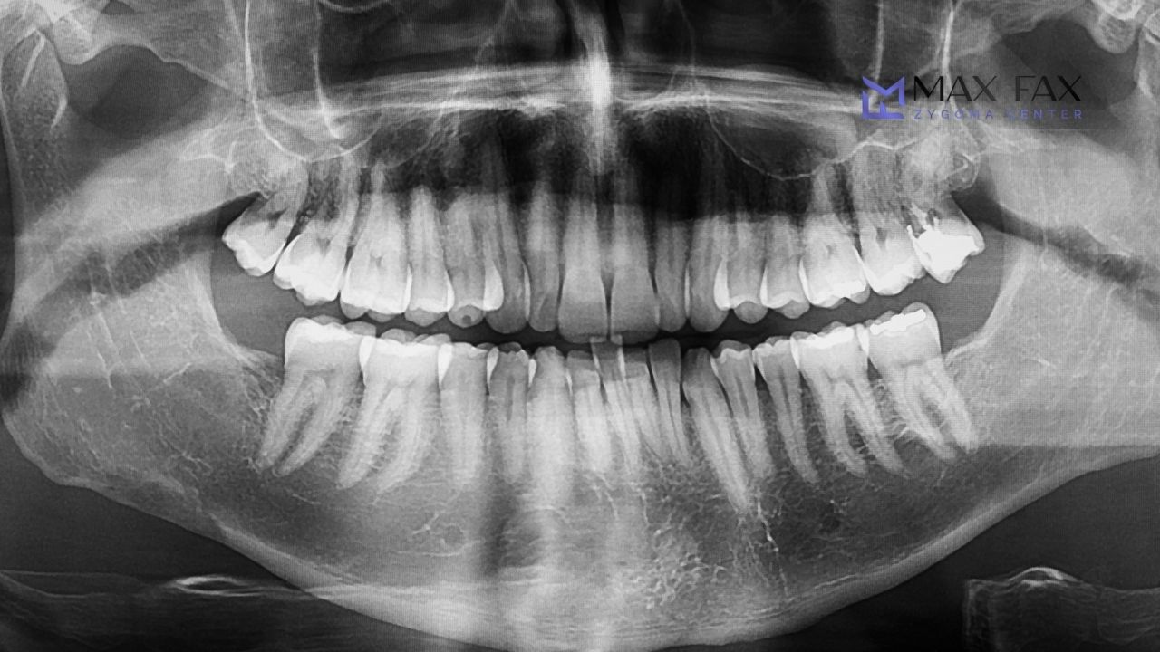
During consultation, it is determined whether the patient is suitable for the procedure. Clinical and radiological examinations are performed, typically including volumetric tomography and panoramic X-rays. The zygomatic arch region is evaluated in detail.
These images allow the surgeon to plan the exact implant placement angle and position with precision, according to the anatomy of the cheekbone as part of the Zygomatic Implant Steps.
2 – Surgical Procedure
The procedure is performed under local or general anesthesia. Thanks to anesthesia, the patient does not feel pain or discomfort. After anesthesia takes effect, an incision is made inside the mouth and the gum tissue over the upper jaw is lifted. A channel is then created toward the cheekbone where the implant will be placed. This procedure must be performed by an experienced oral and maxillofacial surgeon.
3 – Implant Placement
Through the prepared channel, the implants are inserted into the cheekbone with the previously planned angulation. These implants are designed to achieve strong anchorage in the bone. After placement, necessary checks are performed and the incision is closed — completing one of the most important Zygomatic Implant Steps.
4 – Healing Period
The soft tissues typically heal within 7–10 days. However, the most important stage is the fusion of the titanium implant with the bone. Titanium is biocompatible and integrates with bone tissue. This means the implant becomes strongly anchored, functioning almost like a natural tooth root. Full healing generally takes 1–3 months, although this period may be longer depending on patient age.
5 – Placement of Prosthetic Teeth
The final stage is the fitting of permanent prosthetic teeth. Once the final prosthetics are placed and checked, the treatment is completed. Patients regain both aesthetics and function — almost as if they have natural teeth again.
Because this procedure requires advanced expertise, surgeon selection is extremely important. Surgeons recognised as leading zygoma implant specialists typically achieve higher success rates throughout all Zygomatic Implant Steps.
Prof. Dr. Celal Çandırlı is among the leading names in this field. He has extensive experience in cheekbone implants, maxillofacial surgery, and orthognathic surgery. You may contact us anytime for more information regarding zygoma implants or the zygomatic bone.

Important Considerations After Zygomatic Implant Steps
Zygoma implant surgery enables patients with insufficient upper jawbone to benefit from implant treatment. However, to ensure long-term success and patient satisfaction, certain postoperative care steps are essential:
- Avoid extremely hot or cold foods during the early postoperative period.
- Do not consume solid foods until the healing process begins.
- Avoid hard foods for at least the first 3 months.
- Maintain strict oral hygiene from the first day onward.
- Use antibacterial mouth rinses if prescribed.
- Swelling, bruising, and discomfort may occur — these usually improve with cold compresses and prescribed pain medication.
- Keep the head elevated during the first few days.
- Avoid heavy physical activity and bending the head down.
- Attend all scheduled follow-up appointments.
If severe pain, swelling, or significant oral bleeding occurs, you should contact your surgeon immediately.
How Much Do Zygoma Implants Cost? — Zygomatic Implant Steps
Zygoma implant costs vary depending on several factors — including the scope of treatment, the clinic where the procedure is performed, the surgeon’s expertise, and the materials used.
Because this is a highly specialised treatment, it should be performed by experienced surgeons using high-quality implant systems to ensure long-term success across all Zygomatic Implant Steps.
You may contact our clinic led by Prof. Dr. Celal Çandırlı to obtain detailed pricing information and learn more about your treatment options.

Frequently Asked Questions About Zygomatic Implant Steps
Zygomatic implants are an advanced treatment option for patients who have severe bone loss in the upper jaw and are not suitable for traditional dental implants. Because this procedure involves placing longer implants into the cheekbone, many patients naturally have questions about how the process works, what to expect during surgery, and how recovery takes place. Below, we have answered the most common questions about the steps involved in zygomatic implant treatment to help you better understand each stage of the journey — from planning to final restoration.
What is the process of zygomatic implants?
The process of zygomatic implants begins with a detailed clinical and radiological examination, usually including 3D imaging. This allows the surgeon to plan the exact position and angle of implant placement into the zygomatic (cheek) bone. The procedure is performed under local or general anesthesia. Through an incision inside the mouth, the surgeon prepares a channel toward the cheekbone and places the long implants securely into the zygoma. After the implants integrate with the bone, fixed prosthetic teeth are attached, restoring chewing function and aesthetics.
What are the 4 processes of the zygomatic bone?
The zygomatic bone has four main anatomical processes. These include the frontal process, which connects to the frontal bone near the orbit; the temporal process, which extends backward to meet the temporal bone; the maxillary process, which attaches to the upper jawbone (maxilla); and the orbital process, which contributes to the eye socket structure. Together, these processes help form the mid-facial skeleton and support facial shape.
What is the 3×3 rule for implants? Zygomatic Implant Steps
The “3×3 rule” in implant dentistry is a guideline suggesting that at least 3 mm of bone should remain around the apical (tip) end of the implant and 3 mm between the implant and critical anatomical structures. This helps maintain bone health and reduce complications. It is one of many planning principles used to improve implant stability and long-term success.
What are the steps in an implant procedure?
The implant procedure typically includes several key steps: evaluation and treatment planning, placement of the implant into the bone, a healing period allowing the implant to integrate, and finally attachment of the prosthetic crown or bridge. Depending on the patient’s condition, bone grafting or zygomatic implant placement may also be needed when bone volume is insufficient.
What is the 50-40-30 rule in dentistry?
The 50-40-30 rule is an educational guideline sometimes used in restorative dentistry to describe how biting forces are distributed across the teeth. The greatest force is typically on the back molars (around 50%), followed by premolars (40%), and the least force is on the front teeth (around 30%). Understanding force distribution helps dentists design restorations that protect teeth and implants from overload.
What is the 3 2 rule for implants?
The 3-2 rule in implant planning suggests maintaining at least 3 mm of bone between adjacent implants and 2 mm between an implant and a natural tooth. These spacing guidelines help preserve bone and gum tissue health while supporting aesthetics and stability. Final planning, however, always depends on individual anatomy and clinical judgement.
What is the 2-2-2 rule for teeth? Zygomatic Implant Steps
The 2-2-2 rule generally refers to oral hygiene advice: brush twice a day for at least two minutes, and visit your dentist at least twice a year. This simple guideline helps patients maintain good oral health and reduce the risk of gum disease, decay, and implant complications.
What is the 7 4 rule for teeth?
The 7-4 rule is commonly used in pediatric dentistry to explain expected tooth eruption patterns. It suggests that by around 7 months, the first baby teeth begin to erupt, and by age 4, most primary teeth are present. This is only a guideline, as eruption timing varies between children.
What is the golden rule of dentistry?
The “golden rule of dentistry” generally emphasizes preserving natural tooth structure whenever possible. Whether planning fillings, crowns, implants, or surgery, the goal is to protect healthy tissues, support function, and provide long-term oral health with minimally invasive treatment. This principle also applies to implant dentistry, where careful planning and patient-specific treatment lead to the best outcomes.



